Тело мужчины полностью покрылось глистами после употребления суши - ФОТО
Сашими - это одно из самых дорогих блюд суши-меню. Но любовь к нему одного мужчины едва не убила его.
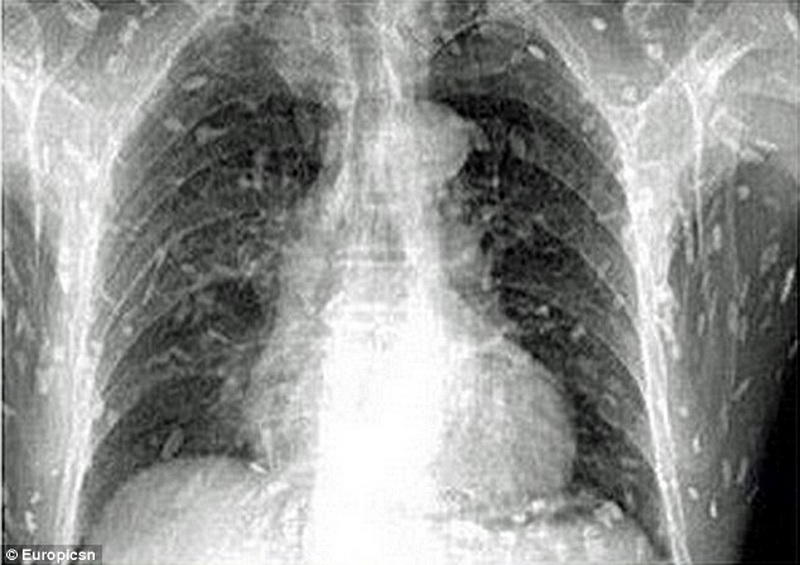
А все началось с того, что китаец пошел к доктору с жалобами на боли в животе и сыпь на коже, передает Day.Az со ссылкой на Soulpost.ru. К его ужасу, рентген показал, что все его тело заражено глистами - солитерами, ленточными червями.

Причина - слишком много сашими, точнее, один неудачно съеденный зараженный кусок сырой рыбы.

Личинки солитера часто живут в пресноводной рыбе, такой как лосось, хотя иногда сохраняются даже в маринованной и копченой рыбе. Конечно, чаще всего это бывает в местностях с плохими санитарными условиями, но случается и в развитых странах.

Как отмечают врачи, виной всему большой спрос на суши, так что производитель все меньше обращает внимание на качество рыбы.

Этот медицинский случай был зафиксирован в 2014 году, но не теряет своей сути и актуальности.
















